Orthopedic Care

TPLO Procedure
TPLO (Tibial Plateau Leveling Osteotomy) is a surgery used to treat a torn cruciate ligament in a dog’s knee.
Instead of replacing the damaged ligament, the surgeon cuts and rotates the top of the shin bone (tibia) to change the angle of the knee joint. A metal plate and screws are then used to hold the bone in its new position.
By changing the joint angle, the knee becomes stable again when the dog stands or walks, reducing pain and helping prevent further damage to the joint. Most dogs regain good, comfortable use of the leg after a proper recovery period and rehab.

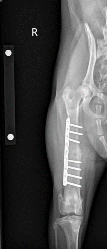
Fracture Repairs
Fracture repairs in dogs involve stabilizing broken bones so they can heal in the correct position and your pet can return to comfortable use of the limb. Depending on the fracture, this may be done with bone plates and screws, pins, or wires that hold the pieces together while they heal. Our goal is to restore normal function, minimize pain, and reduce the risk of long‑term problems like arthritis or deformity.

Toggle Procedure
A toggle procedure is a surgical technique used to repair a dislocated hip (most often a craniodorsal hip luxation) in dogs.
Instead of replacing the natural ligament that holds the ball of the hip in the socket, the surgeon places a strong synthetic “toggle” (implant) through small tunnels in the hip socket and the head of the femur. This artificial ligament holds the hip ball securely back in the socket while the surrounding tissues heal and tighten.
The goal is to restore a stable, pain‑free hip so your dog can return to comfortable walking and normal activity after an appropriate healing and rehab period
Orthopedic Surgery
We offer many additional surgical procedures beyond those listed above, tailored to meet the specific needs of each patient. All surgeries are performed in a clean, sterile environment using modern equipment and up‑to‑date techniques. Our team is dedicated to providing the highest standard of care, including careful monitoring and comprehensive pain management, to keep your pet as safe, comfortable, and stress‑free as possible.
